免疫组化(IHC)抗体
免疫组织化学(IHC)利用抗原和抗体特异性结合的原理,结合免疫学、组织学和生物化学技术通过化学反应使标记抗体的显色剂(荧光染剂、酶、金属离子、同位素等)显色来确定组织细胞内抗原,对其进行定位、定性及定量的研究。
华美生物提供一系列免疫组化(IHC)抗体,经临床病理样本验证,具备高特异性、高灵敏度、定位准确等特点。
应用场景:
- 形态科学:包括病理学、神经内科学、生物学、病原微生物的检测、皮肤病学、器官移植等;
- 分子生物学研究:对研究的大分子进行定位,进而深入研究其功能;
- 基础医学研究:了解生物标志物和差异表达蛋白在生物组织不同部位的分布和定位;
- 肿瘤病理学诊断:确定肿瘤的分期和分级、良性或恶性肿瘤、转移来源以定位原发肿瘤等。
注意:本公司提供的产品仅用于科研,不用于临床诊断。
选择您所需要的产品:
部分产品展示:

Human heart tissue
1:100

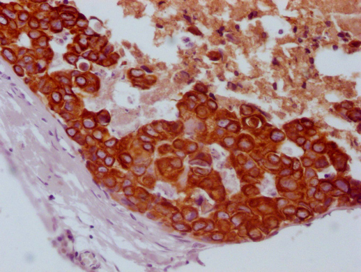
Human liver cancer
1:100

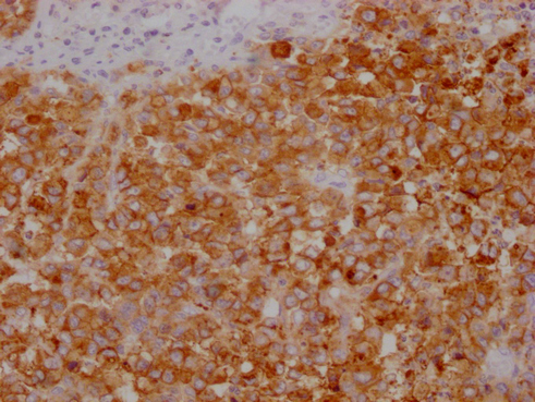
Human tonsil tissue
1:100

Human skin tissue
1:100


















