前沿靶点速递:每周医学研究精选(九)
日期:2024-08-20 16:03:40
靶点:AIM2
应用:动脉粥样硬化性卒中复发研究
来源:Cao, Jiayu, et al. "DNA-sensing inflammasomes cause recurrent atherosclerotic stroke." Nature (2024): 1-9.
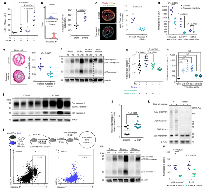
一项来自慕尼黑大学Arthur Liesz实验室的研究发表在《Nature》杂志上,揭示了DNA激活的AIM2炎症小体通路是导致动脉粥样硬化性卒中复发的关键机制。研究发现,初次卒中后,细胞游离DNA激活的AIM2炎症小体通路,导致颈动脉粥样硬化斑块内促炎细胞浸润及增殖,增加斑块不稳定性,从而促进卒中复发。研究还发现,卒中后循环游离双链DNA主要来自激活的中性粒细胞,通过靶向删除或抑制中性粒细胞活性,可降低卒中后循环游离DNA水平,抑制炎症小体激活,减少颈动脉斑块内促炎细胞浸润。此外,卒中可导致斑块中基质蛋白酶(MMPs)活性增加,引起胶原纤维排列紊乱及细胞外基质降解,炎症小体激活后产生的IL-1β可促进MMPs的表达及活化。通过抑制炎症小体活性、中和IL-1β或降解游离双链DNA,均可减少MMPs激活及FXII的沉积,提高斑块稳定性,为卒中二级预防策略提供了新的干预靶点。
靶点:PI4P、Merlin
应用:肿瘤研究
来源:Guo, Pengfei, et al. "PI4P-mediated solid-like Merlin condensates orchestrate Hippo pathway regulation." Science 385.6709 (2024): eadf4478.
(图源:固态样Merlin凝聚体在极化上皮中的功能和调控 [2])
美国德克萨斯大学西南医学中心潘多加院士团队在《Science》杂志上发表的研究论文,揭示了Hippo信号通路上游调节因子Merlin的新调控机制。研究发现,Merlin能够形成固态样凝聚体,并通过这种结构调控Hippo信号通路。Merlin的固态样凝聚体受到上游信号的双向调控,包括细胞膜上的磷脂酰肌醇-4-磷酸(PI4P)浓度和细胞骨架张力。PI4P浓度的增加可以促进Merlin凝聚,而细胞骨架张力的变化可以影响Merlin凝聚体的固态到液态转变。Merlin凝聚体的固态物理特性对其生理功能至关重要,并且能够抵抗缺氧等外部扰动的影响。这项研究为理解Hippo信号通路的调控机制提供了新的视角,并为肿瘤抑制因子Merlin的功能研究开辟了新方向。
靶点:SLC20A2
应用:脑钙化研究
来源:Zhao, Miao, et al. "Antisense oligonucleotides enhance SLC20A2 expression and suppress brain calcification in a humanized mouse model." Neuron (2024).
福建医科大学附属第一医院陈万金教授及其合作团队在《Neuron》期刊发表的研究中,发现了脑钙化关键致病基因SLC20A2的新型可变剪接调节机制,并据此开发了首个反义核苷酸疗法。该疗法在患者细胞和人源化小鼠模型中有效恢复了SLC20A2基因表达,显著遏制了脑钙化进展。脑钙化是老年人常见的病状,与多种严重神经精神症状相关,但目前尚无有效治疗药物。SLC20A2基因编码的钠磷共转运体PiT2的杂合突变是主要致病原因。研究团队通过全基因组测序发现SLC20A2基因内含子区域存在隐蔽外显子序列和提前终止密码子,构建了模拟患者病理表型的脑钙化模型小鼠。设计的反义核苷酸药物能显著上调SLC20A2的mRNA和蛋白表达,实现长期表达修复,降低脑脊液无机磷水平,抑制脑钙化发生与进展,并改善神经退行性和炎症。这项研究为理解脑钙化症的致病机制和开发新的治疗方法提供了重要基础,有望为患者带来新的治疗希望。
靶点:RPN11
应用:非酒精性脂肪性肝病
来源:Amelioration of nonalcoholic fatty liver disease by inhibiting the deubiquitylating enzyme RPN11. Cell Metabolism (2024).
上海交通大学医学院附属第六人民医院的陆炎研究员、胡承研究员,以及上海交通大学医学院基础医学院的李垚副研究员和复旦大学的赵冰研究员,在《Cell Metabolism》杂志上发表的研究论文中,揭示了非酒精性脂肪性肝病(NAFLD)发生的新机制。研究发现,去泛素化酶RPN11通过去除RNA甲基化酶METTL3的泛素化修饰,提高METTL3的蛋白稳定性和含量,进而增加酰基转移酶ACSS3的表达和组蛋白丙酰化修饰,上调脂肪酸合成酶FASN等关键酶的表达,促进肝脏脂质从头合成途径,引起肝脏甘油三酯沉积。这项研究不仅阐明了NAFLD/NASH的分子机制,还为疾病治疗提供了新的干预手段。陆炎团队还鉴定出肝细胞特异性分泌蛋白ORM2作为NAFLD/NASH的新干预靶点。这些发现为NAFLD/NASH的治疗提供了新的策略和方法。
靶点:LIFR
应用:肝病研究
来源:LIFR regulates cholesterol-driven bidirectional hepatocyte–neutrophil cross-talk to promote liver regeneration. Nature Metabolism (2024).
(图源:LIFR在胆固醇驱动的肝脏再生中发挥关键作用 [5])
美国德克萨斯大学MD安德森癌症中心的马莉课题组在《Nature Metabolism》上发表的研究成果揭示了肝脏肿瘤抑制因子LIFR在胆固醇驱动的肝脏再生中的关键作用。研究表明,LIFR通过激活STAT3信号通路,促进肝细胞产生胆固醇和趋化因子CXCL1,这些分泌物激活骨髓中性粒细胞,促使它们释放肝细胞生长因子HGF,加速肝脏修复和再生。LIFR的肝脏特异性敲除会减弱小鼠肝脏部分切除后的再生能力,而过表达LIFR则显著促进肝脏再生。这一发现不仅增进了我们对肝脏再生分子机制的理解,也为开发治疗肝脏疾病的新方法提供了可能,尤其是考虑到当前许多患者依赖肝脏移植,新的治疗方法若能有效促进肝脏自我修复,将有望减少对移植的依赖。
靶点:SEC16A
应用:慢性胰腺炎研究
来源:SEC16A variants predispose to chronic pancreatitis by impairing ER‐to‐Golgi Transport and inducing ER stress. Advanced Science (2024).
(图源:SEC16A功能缺失可显著增加胰腺炎的易感性,促进疾病的发生发展 [6])
《Advanced Science》杂志上发表了一项突破性研究成果,由海军军医大学长海医院消化科的廖专和邹文斌团队,以及法国国家健康与医学研究院的陈建敏教授合作完成。该研究首次发现了慢性胰腺炎(CP)的新易感基因SEC16A,揭示了其功能缺失型突变通过干扰内质网(ER)到高尔基体的转运,导致分泌蛋白过载和ER应激,增加患CP风险的新机制。研究在中国和法国的CP患者中发现SEC16A罕见突变显著富集,并指出携带此突变的患者发病年龄更早。通过CRISPR/Cas9技术构建的突变细胞系和Sec16a敲除小鼠模型,研究进一步证实了SEC16A功能缺失对蛋白质分泌途径和ER应激的影响,为CP的精准诊疗提供了潜在的新靶点和新思路。
靶点:eIF4E
应用:抗癌研究
来源:Remodelling of the translatome controls diet and its impact on tumorigenesis. Nature (2024).
加州大学旧金山分校的Davide Ruggero教授团队在《自然》杂志上发表的研究揭示了一种新的抗癌策略。该研究团队发现,结合使用生酮饮食和临床试验阶段的癌症新药tomivosertib(eFT508)可以有效抑制小鼠胰腺癌的生长。研究指出,在禁食或生酮饮食中,真核细胞翻译起始因子4E(eIF4E)的磷酸化对代谢重编程至关重要,它通过特定的翻译调控元件促进肝脏中的脂质分解代谢和酮体生成。此外,研究还发现长链脂肪酸作为信号分子激活AMPK,进而增强MNK的磷酸化,形成AMPK-MNK-eIF4E轴,这一轴心在生酮过程中起到关键作用。这项研究为胰腺癌的精准治疗提供了新思路,即将饮食干预与小分子药物联合使用,针对癌细胞的代谢弱点进行治疗,也为其他癌症的潜在治疗策略提供了新方向。
靶点:LTβ
应用:癌症骨转移研究
来源:Lymphotoxin-β promotes breast cancer bone metastasis colonization and osteolytic outgrowth. Nature Cell Biology (2024).
清华大学基础医学院郑撼球团队与青岛大学附属医院岳斌团队在《Nature Cell Biology》上发表的合作研究揭示了淋巴毒素-β(Lymphotoxin-β,LTβ)在乳腺癌骨转移中的关键作用。研究团队通过单细胞RNA测序分析,发现LTβ在骨转移早期定植肿瘤细胞中的表达显著高于体外培养或原位状态下的肿瘤细胞,且其高表达可能由成骨细胞分泌的RANKL诱导。LTβ不仅促进肿瘤细胞在骨微环境的定植,还刺激成骨细胞内NF-κB2信号通路激活,诱导趋化因子的产生,进而通过反馈机制招募巨噬细胞并增强破骨细胞分化,推动休眠肿瘤细胞的激活和溶骨性骨转移的进展。此外,研究还发现阻断LTβ能够降低骨转移,为乳腺癌骨转移的治疗提供了新的潜在靶点。该研究不仅增进了对骨转移机制的理解,也为未来的临床治疗策略提供了新方向。
参考文献
1. Cao, Jiayu, et al. "DNA-sensing inflammasomes cause recurrent atherosclerotic stroke." Nature (2024): 1-9.
2. Guo, Pengfei, et al. "PI4P-mediated solid-like Merlin condensates orchestrate Hippo pathway regulation." Science 385.6709 (2024): eadf4478.
3. Zhao, Miao, et al. "Antisense oligonucleotides enhance SLC20A2 expression and suppress brain calcification in a humanized mouse model." Neuron (2024).
4. Zhou, Bing, et al. "Amelioration of nonalcoholic fatty liver disease by inhibiting the deubiquitylating enzyme RPN11." Cell Metabolism (2024).
5. Deng, Yalan, et al. "LIFR regulates cholesterol-driven bidirectional hepatocyte–neutrophil cross-talk to promote liver regeneration." Nature Metabolism (2024): 1-19.
6. Wang, Min‐Jun, et al. "SEC16A variants predispose to chronic pancreatitis by impairing ER‐to‐Golgi Transport and inducing ER stress." Advanced Science (2024): 2402550.
7. Yang, Haojun, et al. "Remodelling of the translatome controls diet and its impact on tumorigenesis." Nature (2024): 1-9.
8. Wang, Xuxiang, et al. "Lymphotoxin-β promotes breast cancer bone metastasis colonization and osteolytic outgrowth." Nature Cell Biology (2024): 1-16.
应用:动脉粥样硬化性卒中复发研究
来源:Cao, Jiayu, et al. "DNA-sensing inflammasomes cause recurrent atherosclerotic stroke." Nature (2024): 1-9.

(图源:中风后 DNA 激活斑块中的AIM2 [1])
一项来自慕尼黑大学Arthur Liesz实验室的研究发表在《Nature》杂志上,揭示了DNA激活的AIM2炎症小体通路是导致动脉粥样硬化性卒中复发的关键机制。研究发现,初次卒中后,细胞游离DNA激活的AIM2炎症小体通路,导致颈动脉粥样硬化斑块内促炎细胞浸润及增殖,增加斑块不稳定性,从而促进卒中复发。研究还发现,卒中后循环游离双链DNA主要来自激活的中性粒细胞,通过靶向删除或抑制中性粒细胞活性,可降低卒中后循环游离DNA水平,抑制炎症小体激活,减少颈动脉斑块内促炎细胞浸润。此外,卒中可导致斑块中基质蛋白酶(MMPs)活性增加,引起胶原纤维排列紊乱及细胞外基质降解,炎症小体激活后产生的IL-1β可促进MMPs的表达及活化。通过抑制炎症小体活性、中和IL-1β或降解游离双链DNA,均可减少MMPs激活及FXII的沉积,提高斑块稳定性,为卒中二级预防策略提供了新的干预靶点。
靶点:PI4P、Merlin
应用:肿瘤研究
来源:Guo, Pengfei, et al. "PI4P-mediated solid-like Merlin condensates orchestrate Hippo pathway regulation." Science 385.6709 (2024): eadf4478.

(图源:固态样Merlin凝聚体在极化上皮中的功能和调控 [2])
美国德克萨斯大学西南医学中心潘多加院士团队在《Science》杂志上发表的研究论文,揭示了Hippo信号通路上游调节因子Merlin的新调控机制。研究发现,Merlin能够形成固态样凝聚体,并通过这种结构调控Hippo信号通路。Merlin的固态样凝聚体受到上游信号的双向调控,包括细胞膜上的磷脂酰肌醇-4-磷酸(PI4P)浓度和细胞骨架张力。PI4P浓度的增加可以促进Merlin凝聚,而细胞骨架张力的变化可以影响Merlin凝聚体的固态到液态转变。Merlin凝聚体的固态物理特性对其生理功能至关重要,并且能够抵抗缺氧等外部扰动的影响。这项研究为理解Hippo信号通路的调控机制提供了新的视角,并为肿瘤抑制因子Merlin的功能研究开辟了新方向。
靶点:SLC20A2
应用:脑钙化研究
来源:Zhao, Miao, et al. "Antisense oligonucleotides enhance SLC20A2 expression and suppress brain calcification in a humanized mouse model." Neuron (2024).

(图源:SLC20A2的可变剪接机制以及反义核苷酸疗法的干预示意图 [3])
福建医科大学附属第一医院陈万金教授及其合作团队在《Neuron》期刊发表的研究中,发现了脑钙化关键致病基因SLC20A2的新型可变剪接调节机制,并据此开发了首个反义核苷酸疗法。该疗法在患者细胞和人源化小鼠模型中有效恢复了SLC20A2基因表达,显著遏制了脑钙化进展。脑钙化是老年人常见的病状,与多种严重神经精神症状相关,但目前尚无有效治疗药物。SLC20A2基因编码的钠磷共转运体PiT2的杂合突变是主要致病原因。研究团队通过全基因组测序发现SLC20A2基因内含子区域存在隐蔽外显子序列和提前终止密码子,构建了模拟患者病理表型的脑钙化模型小鼠。设计的反义核苷酸药物能显著上调SLC20A2的mRNA和蛋白表达,实现长期表达修复,降低脑脊液无机磷水平,抑制脑钙化发生与进展,并改善神经退行性和炎症。这项研究为理解脑钙化症的致病机制和开发新的治疗方法提供了重要基础,有望为患者带来新的治疗希望。
靶点:RPN11
应用:非酒精性脂肪性肝病
来源:Amelioration of nonalcoholic fatty liver disease by inhibiting the deubiquitylating enzyme RPN11. Cell Metabolism (2024).

(图源:RPN11抑制剂可缓解小鼠NAFLD [4])
上海交通大学医学院附属第六人民医院的陆炎研究员、胡承研究员,以及上海交通大学医学院基础医学院的李垚副研究员和复旦大学的赵冰研究员,在《Cell Metabolism》杂志上发表的研究论文中,揭示了非酒精性脂肪性肝病(NAFLD)发生的新机制。研究发现,去泛素化酶RPN11通过去除RNA甲基化酶METTL3的泛素化修饰,提高METTL3的蛋白稳定性和含量,进而增加酰基转移酶ACSS3的表达和组蛋白丙酰化修饰,上调脂肪酸合成酶FASN等关键酶的表达,促进肝脏脂质从头合成途径,引起肝脏甘油三酯沉积。这项研究不仅阐明了NAFLD/NASH的分子机制,还为疾病治疗提供了新的干预手段。陆炎团队还鉴定出肝细胞特异性分泌蛋白ORM2作为NAFLD/NASH的新干预靶点。这些发现为NAFLD/NASH的治疗提供了新的策略和方法。
靶点:LIFR
应用:肝病研究
来源:LIFR regulates cholesterol-driven bidirectional hepatocyte–neutrophil cross-talk to promote liver regeneration. Nature Metabolism (2024).
(图源:LIFR在胆固醇驱动的肝脏再生中发挥关键作用 [5])美国德克萨斯大学MD安德森癌症中心的马莉课题组在《Nature Metabolism》上发表的研究成果揭示了肝脏肿瘤抑制因子LIFR在胆固醇驱动的肝脏再生中的关键作用。研究表明,LIFR通过激活STAT3信号通路,促进肝细胞产生胆固醇和趋化因子CXCL1,这些分泌物激活骨髓中性粒细胞,促使它们释放肝细胞生长因子HGF,加速肝脏修复和再生。LIFR的肝脏特异性敲除会减弱小鼠肝脏部分切除后的再生能力,而过表达LIFR则显著促进肝脏再生。这一发现不仅增进了我们对肝脏再生分子机制的理解,也为开发治疗肝脏疾病的新方法提供了可能,尤其是考虑到当前许多患者依赖肝脏移植,新的治疗方法若能有效促进肝脏自我修复,将有望减少对移植的依赖。
靶点:SEC16A
应用:慢性胰腺炎研究
来源:SEC16A variants predispose to chronic pancreatitis by impairing ER‐to‐Golgi Transport and inducing ER stress. Advanced Science (2024).
(图源:SEC16A功能缺失可显著增加胰腺炎的易感性,促进疾病的发生发展 [6])《Advanced Science》杂志上发表了一项突破性研究成果,由海军军医大学长海医院消化科的廖专和邹文斌团队,以及法国国家健康与医学研究院的陈建敏教授合作完成。该研究首次发现了慢性胰腺炎(CP)的新易感基因SEC16A,揭示了其功能缺失型突变通过干扰内质网(ER)到高尔基体的转运,导致分泌蛋白过载和ER应激,增加患CP风险的新机制。研究在中国和法国的CP患者中发现SEC16A罕见突变显著富集,并指出携带此突变的患者发病年龄更早。通过CRISPR/Cas9技术构建的突变细胞系和Sec16a敲除小鼠模型,研究进一步证实了SEC16A功能缺失对蛋白质分泌途径和ER应激的影响,为CP的精准诊疗提供了潜在的新靶点和新思路。
靶点:eIF4E
应用:抗癌研究
来源:Remodelling of the translatome controls diet and its impact on tumorigenesis. Nature (2024).

(图源:真核细胞翻译起始因子4E(eIF4E)的磷酸化在禁食过程中被诱导 [7])
加州大学旧金山分校的Davide Ruggero教授团队在《自然》杂志上发表的研究揭示了一种新的抗癌策略。该研究团队发现,结合使用生酮饮食和临床试验阶段的癌症新药tomivosertib(eFT508)可以有效抑制小鼠胰腺癌的生长。研究指出,在禁食或生酮饮食中,真核细胞翻译起始因子4E(eIF4E)的磷酸化对代谢重编程至关重要,它通过特定的翻译调控元件促进肝脏中的脂质分解代谢和酮体生成。此外,研究还发现长链脂肪酸作为信号分子激活AMPK,进而增强MNK的磷酸化,形成AMPK-MNK-eIF4E轴,这一轴心在生酮过程中起到关键作用。这项研究为胰腺癌的精准治疗提供了新思路,即将饮食干预与小分子药物联合使用,针对癌细胞的代谢弱点进行治疗,也为其他癌症的潜在治疗策略提供了新方向。
靶点:LTβ
应用:癌症骨转移研究
来源:Lymphotoxin-β promotes breast cancer bone metastasis colonization and osteolytic outgrowth. Nature Cell Biology (2024).

(图源:LTβ癌症骨转移的定植和溶骨性生长 [8])
清华大学基础医学院郑撼球团队与青岛大学附属医院岳斌团队在《Nature Cell Biology》上发表的合作研究揭示了淋巴毒素-β(Lymphotoxin-β,LTβ)在乳腺癌骨转移中的关键作用。研究团队通过单细胞RNA测序分析,发现LTβ在骨转移早期定植肿瘤细胞中的表达显著高于体外培养或原位状态下的肿瘤细胞,且其高表达可能由成骨细胞分泌的RANKL诱导。LTβ不仅促进肿瘤细胞在骨微环境的定植,还刺激成骨细胞内NF-κB2信号通路激活,诱导趋化因子的产生,进而通过反馈机制招募巨噬细胞并增强破骨细胞分化,推动休眠肿瘤细胞的激活和溶骨性骨转移的进展。此外,研究还发现阻断LTβ能够降低骨转移,为乳腺癌骨转移的治疗提供了新的潜在靶点。该研究不仅增进了对骨转移机制的理解,也为未来的临床治疗策略提供了新方向。
参考文献
1. Cao, Jiayu, et al. "DNA-sensing inflammasomes cause recurrent atherosclerotic stroke." Nature (2024): 1-9.
2. Guo, Pengfei, et al. "PI4P-mediated solid-like Merlin condensates orchestrate Hippo pathway regulation." Science 385.6709 (2024): eadf4478.
3. Zhao, Miao, et al. "Antisense oligonucleotides enhance SLC20A2 expression and suppress brain calcification in a humanized mouse model." Neuron (2024).
4. Zhou, Bing, et al. "Amelioration of nonalcoholic fatty liver disease by inhibiting the deubiquitylating enzyme RPN11." Cell Metabolism (2024).
5. Deng, Yalan, et al. "LIFR regulates cholesterol-driven bidirectional hepatocyte–neutrophil cross-talk to promote liver regeneration." Nature Metabolism (2024): 1-19.
6. Wang, Min‐Jun, et al. "SEC16A variants predispose to chronic pancreatitis by impairing ER‐to‐Golgi Transport and inducing ER stress." Advanced Science (2024): 2402550.
7. Yang, Haojun, et al. "Remodelling of the translatome controls diet and its impact on tumorigenesis." Nature (2024): 1-9.
8. Wang, Xuxiang, et al. "Lymphotoxin-β promotes breast cancer bone metastasis colonization and osteolytic outgrowth." Nature Cell Biology (2024): 1-16.
上一篇: 前沿靶点速递:每周医学研究精选(八)
下一篇: 最后一页






